Abdominal aortic aneurysms (AAAs) are relatively common and are potentially life-threatening. Aneurysms are defined as a focal dilatation in an artery, with at least a 50% increase over the vessel’s normal diameter. Thus, enlargement of the diameter of the abdominal aorta to 3 cm or more fits the definition.
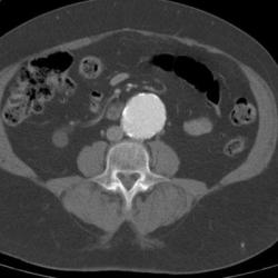
Abdominal aortic aneurysms (AAAs) are relatively common and are potentially life-threatening. Patients at greatest risk for AAA are men who are older than 65 years and have peripheral atherosclerotic vascular disease. See the image below.
Complications
Adverse events and complications
Adverse events following ELA occur, but almost all are minor. Ecchymosis over the treated segment frequently occurs and normally lasts for 7-14 days. About one week after ELA, the treated vein may develop a feeling of tightness similar to that after a strained muscle.
I.Postoperative Care and Instructions
Postoperative care is designed to improve efficacy and minimize side effects and the risk of complications.
I.Technique
ELA procedure for through the sheath laser fiber kits
I.Anesthesia
Tumescent anesthetic, when used in phlebology, describes the use of large volumes of dilute anesthetic solutions that are infiltrated into the perivenous space of the veins to be treated.
I.Indications
The selection of candidates for ELA involves a directed history, physical examination, and duplex ultrasound (DUS) examination.
I.Overview
Chronic venous disorders (CVDs) of the lower extremity are common problems caused by venous hypertension, which is commonly the result of reflux in one or more of the saphenous veins and their primary tributaries.
Interruption of the inferior vena cava (IVC) for the prevention of PE was first performed in 1893 using surgical ligation [7]. Over the years, surgical interruption took many forms (ligation, plication, clipping, or stapling), but IVC thrombosis was a frequent complication after these procedures. Endovascular approaches to IVC interruption became a reality in 1967 after the introduction of the Mobin-Uddin filter [8].
Varicose veins, also known as varicoses or varicosities, occur when your veins become enlarged, dilated, and overfilled with blood. Varicose veins are often painful and have a bluish-purple or red color. Often, varicose veins appear swollen and raised.
Kawasaki disease is a systemic vasculitis that predominantly affects children < 5 years of age.
Although the specific aetiological agent remains unknown, it is believed that Kawasaki disease is a response to some form of infection (though it is not transmitted from person to person).
Performance diagnostique de l’interféron gamma dans l’identification de l’origine tuberculeuse des pleurésies exsudatives
A Mixed Phenotype of Airway Wall Thickening and Emphysema Is Associated with Dyspnea and Hospitalization for Chronic Obstructive Pulmonary Disease.
Radiological Approach to Asthma and COPD-The Role of Computed Tomography.
Significant annual cost savings found with UrgoStart in UK and Germany
Thrombolex announces 510(k) clearance of Bashir catheter systems for thromboembolic disorders
Phone: (028) 3981 2678
Mobile: 0903 839 878 - 0909 384 389







