Ngày 26/09/2016 | 07:48.

Overview

In 1840, Rayer first described the association between renal vein thrombosis (RVT) and nephrotic syndrome. Earlier reports, from postmortem examinations, had correctly cited infectious suppuration, malignancy, and trauma as likely causes of RVT. 

Ngày 26/08/2016 | 07:50.

Background

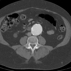
A renal artery aneurysm (RAA) is defined as a dilated segment of renal artery that exceeds twice the diameter of a normal renal artery. Symptomatic RAAs can cause hypertension, pain, hematuria, and renal infarction.  

Ngày 16/08/2016 | 09:11.

Varicose veins are simply dilated, tortuous veins of the subcutaneous/superficial venous system. However, the pathophysiology behind their formation is complicated and involves the concept of ambulatory venous hypertension. 

Ngày 07/08/2016 | 03:46.

Coronary artery atherosclerosis is the single largest killer of men and women in the United States. 

Ngày 03/08/2016 | 09:35.

Gore has announced US Food and Drug Administration (FDA) approval of the Gore Tigris vascular stent, a dual-component stent with a unique fluoropolymer/nitinol design. 

Ngày 03/08/2016 | 11:27.

CT scanning accurately demonstrates dilation of the aorta and involvement of major branch vessels proximally and distally. This information helps in determining the appropriate intervention, which may be either surgical or endovascular repair. (See the image below.)

Ngày 01/08/2016 | 03:52.

Radiography

Calcification of the abdominal aortic wall is frequently evident on plain radiographs of the abdomen, as demonstrated in the images below. 

Ngày 31/07/2016 | 08:10.

Overview

In the United States, 15,000 deaths per year are attributed to abdominal aortic aneurysms (AAAs). Abdominal aortic aneurysms occur most commonly in individuals between 65 and 75 years of age.

Ngày 28/07/2016 | 07:52.

Most clinically significant AAAs are palpable upon routine physical examination; however, the sensitivity of palpation depends on the experience of the examiner, the size of the aneurysm, and the size of the patient. 

Ngày 27/07/2016 | 07:48.

As noted (see Overview, Etiology), patients at greatest risk for abdominal aortic aneurysms (AAAs) are those who are older than 65 years and have peripheral atherosclerotic vascular disease. 

Ngày 26/07/2016 | 07:43.

AAA is thought to be a degenerative process of the aorta, the cause of which remains unclear. It is often attributed to atherosclerosis because these changes are observed in the aneurysm at the time of surgery. 

Ngày 25/07/2016 | 08:11.

AAAs arise as a result of a failure of the major structural proteins of the aorta (elastin and collagen). The inciting factors are not known, but a genetic predisposition clearly exists. 

CUSTOMER REVIEWS

  • I am Nguyen Thanh Sang, born in 1990. Since the examination and treatment at the clinic Duc Tin, I am very grateful to the Doctor for explaining and sharing about my illness. During the treatment time in the clinic I was very caring staff of the clinic. Now my illness has improved in a good way. Expect more and more clinic to be able to save many patients.

    I sincerely thank you !. Tel: 0938303275

  • Huynh Thi Muoi, born in 1940, was examined and treated at Duc Tin Clinic. I am very pleased about how to serve and care patients of the clinic. The doctor is committed to explaining and sharing with the patient.

    Huynh Thi Muoi sincerely thank you! Phone number: 0972868746

  • As I said Duc Tin surgical clinin is where my family trust, hope to visit. Physicians caring, thoughtful, gentle to the patient. Nurses and staff clinic polite, cheerful and thoughtful. This clinic clean, sterile, so I would love to. Tel: +84949914060.

  • The doctor is very caring, attentive and very gentle nurse, courteous, affable with me. The clinic is clean, comfortable, polite. I enjoyed this faith. Every visit I was very relieved disease. Tel: 0839820792.

  • I was patient, had to clinics of Dr. Le Duc Tin. I see very conscientious doctor patient care, answer any questions and very dedicated staff from the receptionist to the children tested, nursing. Clinics very clean and spacious. I'm very satisfied. Tel: +841227880829.

Search
Customer support

    Phone: (028) 3981 2678
    Mobile: 0903 839 878 - 0909 384 389

TOP